審美的治療 esthetic
審美的治療
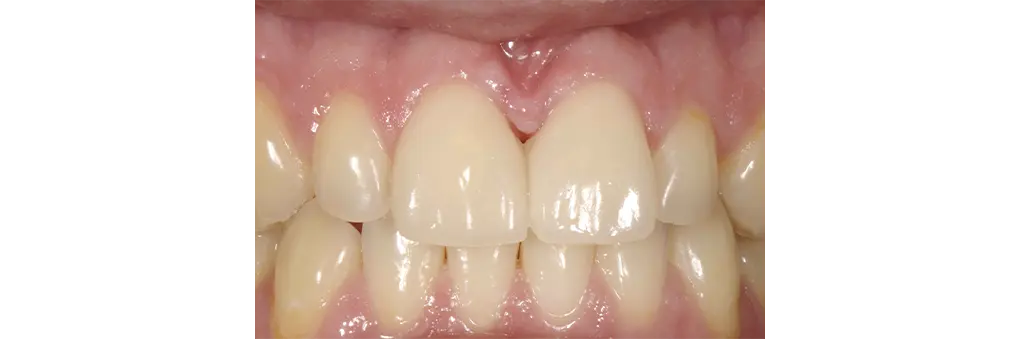
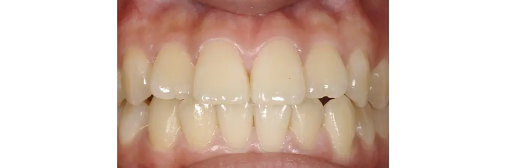
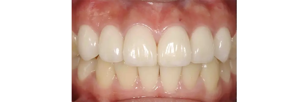
美しい歯とは、白い歯、形のいい歯です。ただし、歯の美しさとは歯の生理的あるいは形態的特徴だけでなく、1歯そして歯列が単独に存在しているわけでなく、口唇や顔貌と密接に関わり合って存在し、顔貌との調和なくして美しいと感じないでしょう。
つまり、顔貌を構成する様々な要素を結ぶ滑らかさで自然で途切れない調和の取れた姿形になって、しかも機能的にも不自然ではない時に自然な美しさが現れるのだと思います。
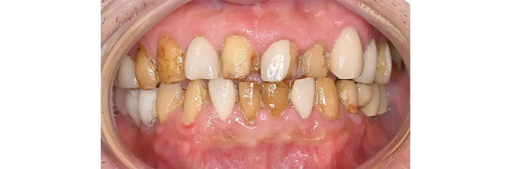
すなわち、美しく思えない不調和な歯、歯列はそれを支える歯槽骨や歯肉の生理的、構造力学的条件が整ってない事が多く、咬むと言うことが機能しないあるいは破綻が生じる危険性があると思われます。美しくないと言う事は普通ではないことを意味し、異常すなわち病的と言えるでしょう。
歯の美しさや清潔感が、どの程度人間を好ましく見せるかは見逃す事の出来ない問題で、歯によって顔貌はかなり変わります。顔貌と調和の取れた白く美しい歯並びは、美しさの必須条件だと確信しています。
当院での審美歯科治療について
歯並びを早く治したい患者さん、あるいは歯並びを早く治したいが歯は削りたくない患者さん、口元を内側に引っ込めたい患者さん等、ご要望は様々です。そのご要望にお応えする為には、専門的分野(歯科矯正、歯科補綴、口腔外科、インプラント、ホワイトニング等)の技術を結集したトータルな最新治療が必要であり、それらによって始めて審美と健康が得られます。
当院では、患者さんのご要望にお応えできるよう、常にその準備を整えております。悩み事、分からない事等ございましたら、お気軽にご相談・ご質問下さい。
歯科治療全般についても言える事ですが、きれいな歯、すてきな笑顔を手に入れたからと言って、それで治療が終わりではありません。その美しさを持続する事が最も大事です。その為には衛生士による定期的なチェックが不可欠です。定期検診を受ける事によって、問題点の早期発見、早期治療、健康の持続をはかります。
当院での審美歯科治療例
・さし歯(セラミックやハイブリッド)による審美歯科治療
・審美的な白い詰め物
・歯の表面に薄いシェルを貼り付けて審美を改善、ラミネートベニア
-
01 ご来院・ご予約
-
02 カウンセリング(治療相談・精密検査)
まずは、患者さんのお話を伺うことから始まります。 -
03 診断・治療方法の決定
治療相談・精密検査により、患者さんにとってベストな治療方法を決定します。 -
04 治療開始
審美治療に入る前には、虫歯や歯周病の治療が必要になる場合があります。治療中も可能な限り審美的な治療法を選択、審美的治療補綴物(仮歯、仮義歯等)を使用。治療内容に関しましては、その都度ご説明致します。 -
05 最終的な審美治療打ち合わせ
完成を見越した最終的な歯の色や形、大きさ、歯並び等を決定します。(治療内容によって、お打ち合わせの内容は異なります。) -
06 治療完了
セラミックやハイブリッド等のさし歯や入れ歯を口腔内にセットします。 -
07 メンテナンス
一人一人にあったケアの方法をご説明致します。
審美的治療費
保険診療:健康保険各種取り扱い、保険診療費に準ずる。
自費診療:以下に表記
-
- セラミックインレー
- 小臼歯55,000円/本
大臼歯66,000円/本
-
- ハイブリッドセラミックス
- 99,000円/本
-
- セラミックスクラウン
- 132,000円/本
-
- オールセラミックス(ジルコニア)
- 154,000円/本
-
- ラミネートベニア
- 99,000円/本




