インプラント治療 own-expense
インプラント
緻密な診断により、リスクを抑えたインプラント治療を
インプラント治療を行ううえで、顎の骨の状態を詳しく調べることはとても重要です。 当院は、歯科用CTによる撮影を行った後、その3D画像を使用して解析と診断、そして外科的処置のシミュレーションを行うことができるシステムを活用することで、治療のリスク軽減に努めています。 また、外科的処置の際は、3次元超音波振動によって骨を切削する器具を使用しています。この器具は、硬い骨は切削することができますが、軟組織は切削することはありません。そのため、柔らかい粘膜や血管などの組織を傷つけることなく治療を進めることが可能です。
インプラントと歯科口腔外科の知識を持つ院長が治療を担当
当院のインプラント治療は、院長が担当いたします。 院長は、インプラントおよび歯科口腔外科について、国内だけでなく海外においても研さんを積んでまいりました。さらに美容診療についての知見も持っており、ただインプラントを入れるのではなく、見た目の美しさも意識したインプラント治療をご提供するようにしています。 インプラント治療は、まずは患者さまのお話を伺うことから始まります。そして、伺った内容と精密検査の結果を踏まえて、患者さま一人ひとりに合った治療方法をご提案いたします。 実は院長自身もインプラントを入れており、メリットやデメリットを実感しておりますので、治療を始める前に、院長自身が感じる使い心地などもご説明することが可能です。
インプラントメーカーにこだわっています
当院は、ストローマンとノーベルバイオケアという、2社のインプラントメーカーのインプラントを使用しています。自分自身や自分の家族と同じように患者さまのことを考え、より良いと思われるインプラントメーカーをお選びしました。 例えば、この2社はインプラントが折れてしまっても、無料でインプラントを送ってもらうことが可能です。また、この2社のインプラントを採用している歯科医院は多いと思いますので、転勤などで引っ越しをされた際も、転居先でこれまでと同じように治療やメンテナンスを受けられる歯科医院を見つけやすいと考えています。 このように、当院は先々のことも考慮してインプラント治療を行っています。
インプラント治療例
【症例1】All on Fourでインプラント埋入と固定式ブリッジを1日で装着(70代女性)
| 主訴・背景 | 下の前歯がぐらぐらして入れ歯で咬めない |
|---|---|
| 診断・治療前の状態 | 長年義歯を使用していたので下顎臼歯部歯槽骨が吸収 |
| 治療方針・計画 | 抜歯、即時インプラント埋入、即時荷重のAll on Fourで当日固定式ブリッジを装着 |
| 手術・処置内容 | ⚫︎ インプラント埋入部位32,35,42,45 インプラント4本 ⚫︎ 下顎前歯部歯槽骨骨整形、骨造成術 ⚫︎ Nobel Biocare社 ⚫︎ 歯肉付き硬質レジン歯ブリッジ |
| 治療期間・回数 | 仮歯装着まで1日、最終補綴物まで3カ月/治療回数5回 |
| 費用・料金(自費診療の場合) | 2,150,000円 |
| リスク・注意点・術後ケア | 硬質レジン歯の破折、インプラント周囲炎、定期検診 |
| 治療後の状態・経過写真 | 入れ歯による咬合時の痛みがなく、入れ歯と違ってよく咬める 8年経過良好で定期検診に6カ月毎来院 |
| まとめ・院からのコメント | 予算の関係上、人工歯に硬質レジン歯を選択したため咬耗した人工歯交換を次回定期検診時行う予定です。 |
【症例2】右下欠損部をインプラントで治療したい(70代男性)
| 主訴・背景 | 入れ歯をしたくないのでインプラントで固定式にしたい |
|---|---|
| 診断・治療前の状態 | 右下第二大臼歯を抜歯して2カ月 |
| 治療方針・計画 | 右下第一第二大臼歯に2本インプラントを埋入し、第二大臼歯に骨造成術を併用 |
| 手術・処置内容 | ⚫︎ 治療部位46,47 インプラント3本 ⚫︎ 第二大臼歯に骨造成術を併用治療 ⚫︎ ストローマン社 TL ⚫︎ 上部構造 ジルコニアセラミッククラウン |
| 治療期間・回数 | 治療期間2カ月/4回通院 |
| 費用・料金(自費診療の場合) | 700,000円 |
| リスク・注意点・術後ケア | セラミック破折、インプラント周囲炎、インプラントと天然歯間の食片圧入、定期検診 |
| 治療後の状態・経過写真 | 現在、術後2年経過良好 「よく咬めると満足しています」 |
| まとめ・院からのコメント | 特に臼歯部インプラントと天然歯の隙間が拡大し、食片圧入が起こる可能性があります。その時は補綴物再製で対応します。 |
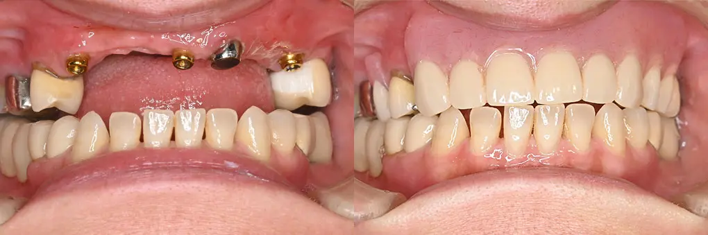
【症例3】インプラントオーバーデンチャー(50代女性)
| 主訴・背景 | 金属のバネのないしっかり咬める義歯にして欲しい |
|---|---|
| 診断・治療前の状態 | クラスプの金属が見えて審美的でない。義歯の動揺有り |
| 治療方針・計画 | 固定式のブリッジをご希望でしたが費用がかさむためインプラントオーバーデンチャーを選択。 残根歯にマグネット維持装置、インプラントを埋入してロケーター維持装置によるインプラントオーバーデンチャーの製作。 |
| 手術・処置内容 | ⚫︎ 治療部位13,21,25 インプラント3本 ⚫︎ ストローマン社 BLT TL ⚫︎ ロケーター維持装置によるオーバーデンチャー |
| 治療期間・回数 | 治療期間3カ月/治療回数5回 |
| 費用・料金(自費診療の場合) | 1,290,000円 |
| リスク・注意点・術後ケア | 義歯破損、インプラント周囲炎、定期検診 |
| 治療後の状態・経過写真 | 金属のバネも見えず、よく咬める。 術後3年経過して3カ月毎の定期検診で来院され、清掃状態も良好。 |
| まとめ・院からのコメント | きちんと3カ月に一度の定期検診に来られ、口腔清掃状態も良好 |
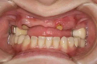
【症例4】入れ歯をインプラントで固定式ブリッジに(40代女性)
| 主訴・背景 | 取り外し式の入れ歯をインプラントで治療したい |
|---|---|
| 診断・治療前の状態 | 抜歯後2カ月のため抜歯窩が存在 矯正治療後前歯部歯根が吸収して、歯の動揺がひどくなり可徹式義歯を装着 |
| 治療方針・計画 | インプラント埋入と同時に骨造成術を併用 |
| 手術・処置内容 | ⚫︎ 治療部位13,11,22 インプラント3本 ⚫︎ 骨造成術を併用治療 ⚫︎ ストローマン社 BL BLT ⚫︎ 上部構造 ジルコニアセラミックブリッジ |
| 治療期間・回数 | 仮歯装着まで2カ月、最終補綴装着まで2カ月、トータル4カ月/6回 |
| 費用・料金(自費診療の場合) | 1,800,000円 |
| リスク・注意点・術後ケア | セラミックの破折、インプラント周囲炎、定期検診 |
| 治療後の状態・経過写真 | 「違和感なく以前の自身の歯よりきれいになりました」 現在、7年経過良好。遠方からの来院のため6カ月定期検診 |
| まとめ・院からのコメント | 学生時代に矯正治療を受け20年後歯の動揺が出現し、近医で抜歯、可徹式義歯装着と失望感が強かった患者様が笑顔になり嬉しく思います。 |
治療の流れ
01 相談・ご説明・調査診断 まずは患者さまのお話を伺います。必要であれば、レントゲンや歯科用CTでの撮影、歯の型取りを行います。
02 費用や治療期間などのご説明 インプラント治療の費用や治療期間などをお伝えします。
03 インプラントオペ 歯茎を開いてインプラントを埋め込むための穴を作り、人工歯根となる「インプラント体」を顎の骨に埋め込みます。
04 抜糸・仮歯調整 オペから約2週間後に、歯茎を縫合した糸を抜糸します。
05 待機期間 抜歯即時埋入、即時荷重も行ってます。従って、期間は埋入当日から3ヶ月程度です。
06 歯の型取り インプラントの上部構造(人工歯)を作製するために、歯の型取りを行います。
07 上部構造の装着 上部構造を装着し、噛み合わせに問題がないかなどを確認して微調整いたします。 その後お手入れの方法などを練習して、インプラント治療は終了となります。
インプラント治療費
メーカー名:ストローマン(スイス) 保険診療:健康保険各種取り扱い、保険診療費に準ずる。 自費診療:以下に表記-
- インプラント植立
- 243,000円/本
-
- アパットメント
- 77,000円〜/装置
-
- 上部構造種類 ・ジルコニアセラミック ・ゴールド ・メタルボンド
- 154,000円〜 77,000円〜88,000円 132,000円
-
- 骨移植
- 55,000円/欠損
-
- オステオトーム(上顎洞底挙上術)
- 110,000円/本
-
- サイナスリフト
- 220,000円/回
お支払いについて
現金/クレジットカード/デンタルローン